歯牙の外傷
歯の外傷の分類
破折の程度により、おおむね以下の様に分類されます。
単純性歯冠破折:エナメル質に限局するか、エナメル質および象牙質を含む破折で露髄を伴わないもの (図1)
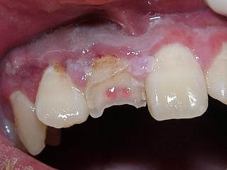
複雑性歯冠破折:露髄を伴い、エナメル質、象牙質、セメント質に及ぶ破折 (図2、3)
歯根破折 :象牙質、セメント質におよび歯髄に及ぶ破折 (図4)
図1
図2
図3
図4
外傷歯の症状と処置処置
単純性歯冠破折の場合(図1)
無症状か、軽度の冷温水痛あり。
レジン樹脂などで破折部の修復を行います
複雑性歯冠破折の場合(図2,3)
強い冷温水痛、あるいは、強い自発痛があります。
歯髄保護をしたのち、レジン樹脂などで破折部の修復を行います。
しかし歯髄への傷害が大きい場合には歯髄除去(抜髄)が必要に成ります。
歯根破折(図4)
歯牙の暫間的固定、また抜歯が必要になります。
症例ノート
症例1
顔面に石がぶつかり受傷
上下顎の3本の前歯に歯冠破折が発症。

症例2
友人の肘が誤って当たり、歯冠のほとんどが破折してしまいました。

